關於林語堂醫師
植牙
正顎手術
削骨手術
矯正
前牙美學
牙齒小百科
案例分享
聯絡我們
關於林語堂醫師
植牙
齒顎矯正
正顎手術
削骨手術
矯正
前牙美學
牙齒小百科
案例分享
聯絡我們
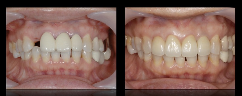
植牙
All on 4 / All on X
立即式植牙(即拔即種)
齒槽骨再生術(補骨)
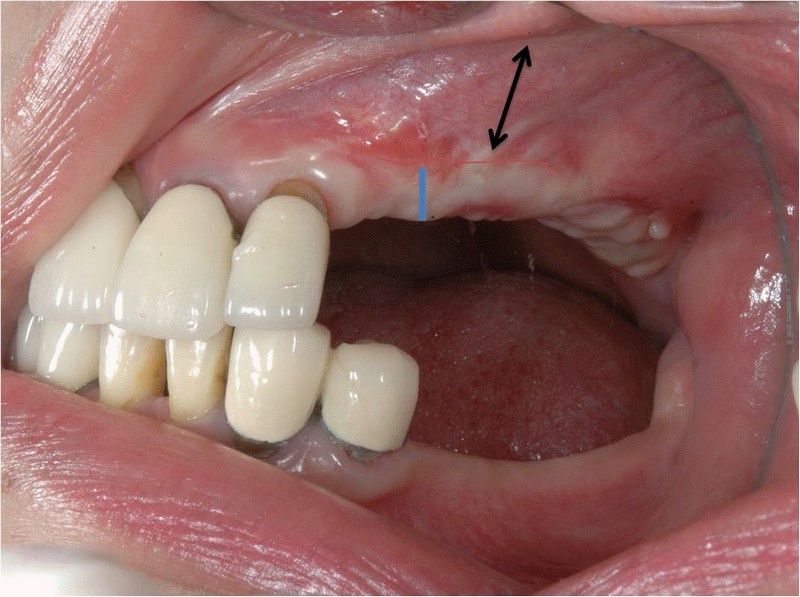
牙齦移植術(補肉)
齒槽骨保存術(拔完牙立即補骨)
前牙美學植牙
植體周圍炎處理
鼻竇增高術