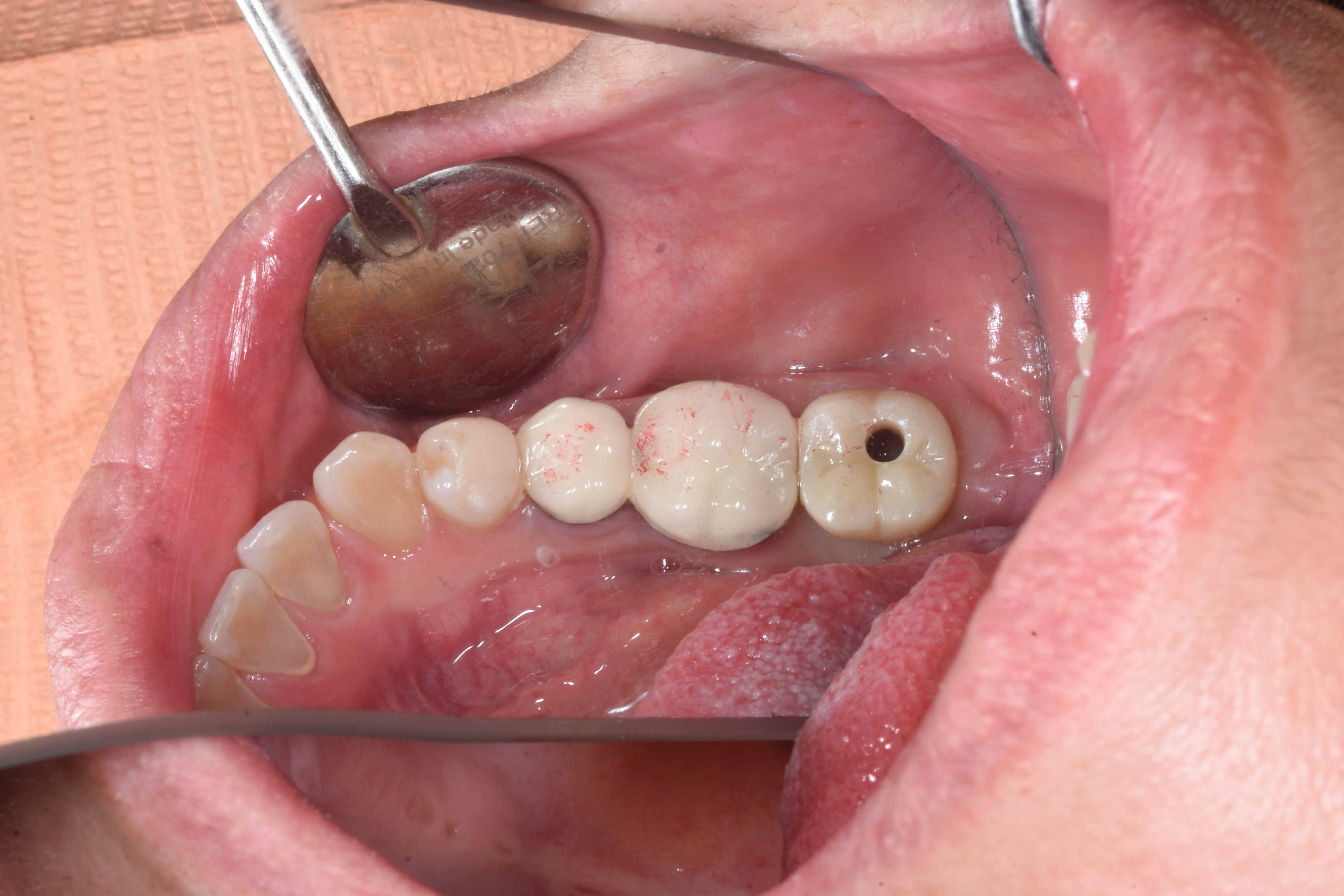
案例一

立即拔除,當天完成植牙手術,並鎖上癒合螺帽

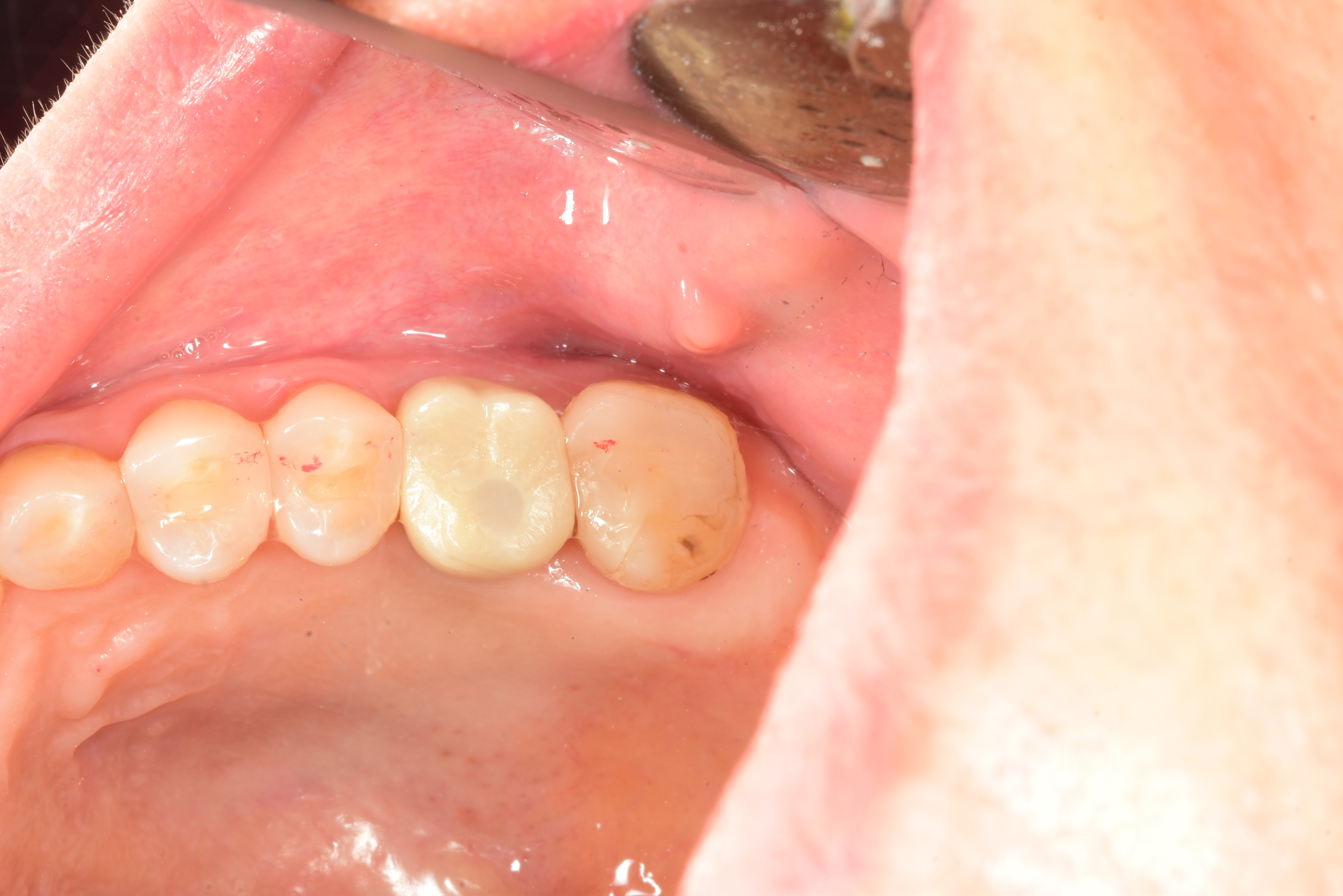
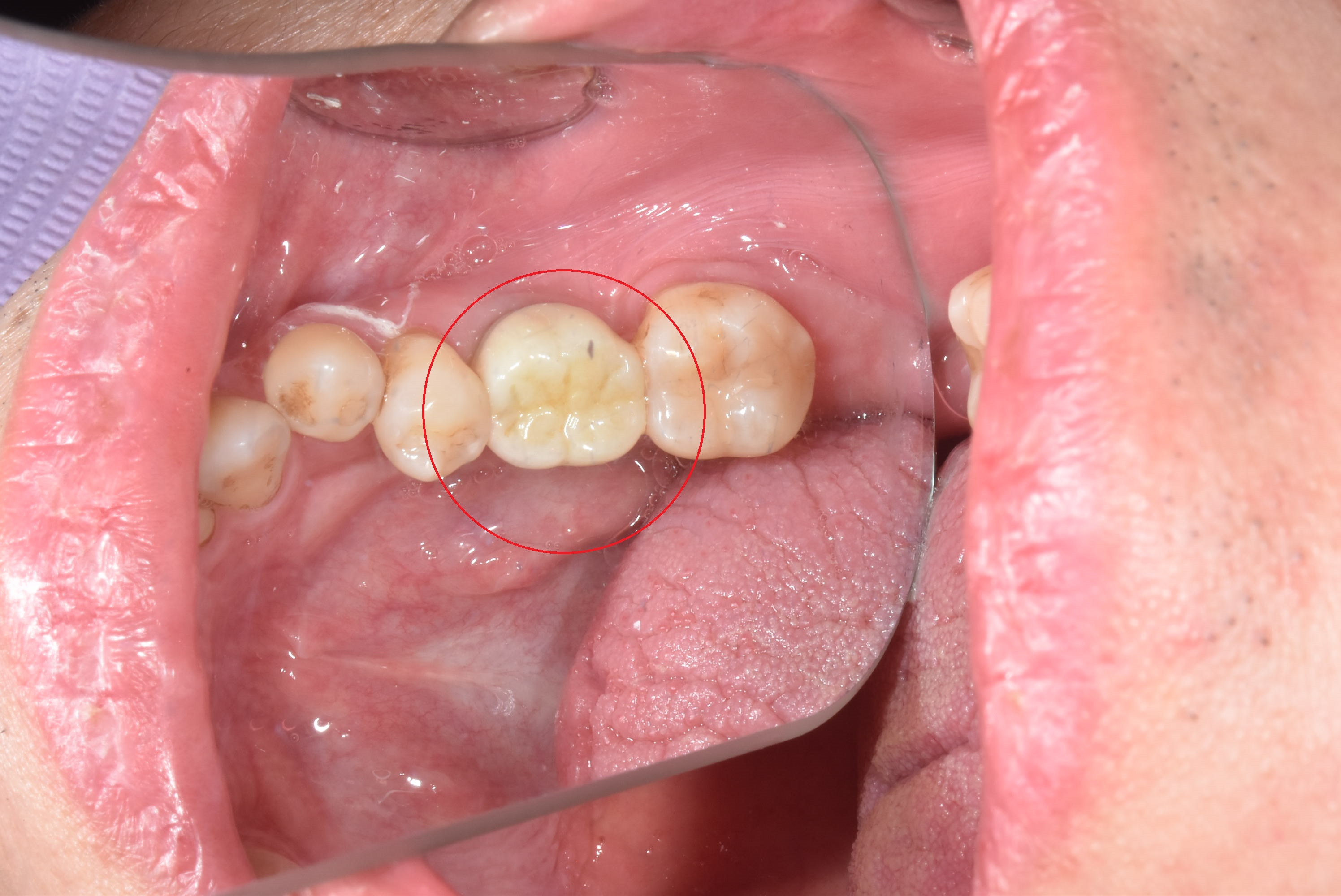
2-3月癒合,取下癒合螺帽,透過數位口掃至技公所製作假牙

7-10天完成假牙,試戴、調整咬合高度並鎖上

封填,完成
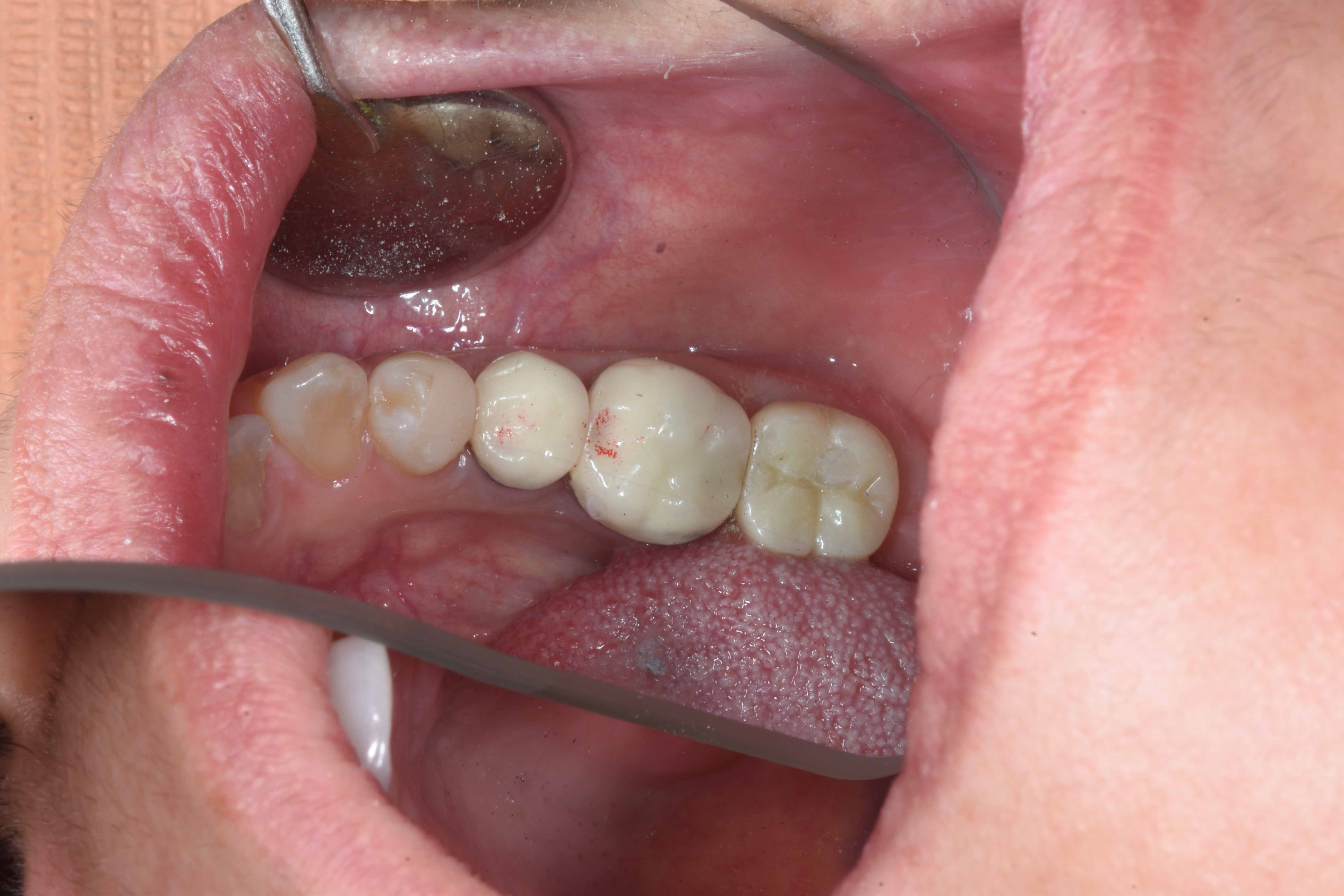
案例二

立即拔除壞牙根

當天完成植牙手術,並鎖上癒合螺帽

2-3月癒合,取下癒合螺帽,透過數位口掃至技公所製作假牙

7-10天完成假牙,試戴、調整咬合高度並鎖上,封填,完成
案例三

立即拔除牙根不好的牙齒

立即植入植體

鎖上癒合螺帽

2-3個月癒合,7-10天完成假牙 ,試戴、調整咬合高度並鎖上,封填,完成
案例四

使用數年的假牙,牙根萎縮,建議拔除及植牙

醫生透過電腦斷層評估骨頭狀況決定植入的植體所放的寬度與深度

植入植體,並鎖上癒合螺帽

2-3個月癒合,7-10天完成假牙 ,試戴、調整咬合高度並鎖上,封填,完成
案例五

立即拔除牙根不好的牙齒

醫生透過電腦斷層評估骨頭狀況決定植入的植體所放的寬度與深度

2-3月癒合,取下癒合螺帽,透過數位口掃至技公所製作假牙

2-3個月癒合,7-10天完成假牙 ,試戴、調整咬合高度並鎖上,封填,完成