正顎手術注意事項及併發症
1. 因手術會改變顏面骨頭的位置,術後臉型會有明顯的改變,如尚未做好心理準備或懷念以前的臉型,會產生心理適應的問題。如:家人及周遭親友因臉型改變,而造成不認識或不認同,甚至給予負面批評,因而產生心理壓力及社會適應問題,尤其社會歷練越久、人際關係越廣的人這個問題愈嚴重。所以術前應請家人參與,與醫師詳細的溝通討論,得到家人的支持做好心理準備,才能減少術後不必要的困擾。(因術後臉型無法以任何方式回復原本一樣的容貌)。而術前預測圖只是參考用,實際結果因個體差異會有所不同。
2. 術後劇烈活動、外力撞擊及感染的發生,有機會會造成骨頭癒合不良,此狀況可能需要再度手術重新固定骨頭兩端。
3. 因手術過程大部分是在口內進行,器械的進出可能會造成嘴唇及口腔周圍皮膚表皮受傷,一般可在1~2週內癒合,通常不至於留下疤痕。
4. 目前口內傷口使用可吸收縫線,線頭一般約1~3週會自然脫落,少數人因吸收不良而無法脫落,則需要另外拆線。(醫師會視情況看決定是否拆線)。
5. 因正顎手術移動上下顎骨位置,造成舌頭與牙齒相對位置改變,口腔肌肉位置方向改變,部分牙齦感覺異常,可能造成術後講話不清楚的情況,通常一至二個月會逐漸適應恢復。
6. 少數人因年紀較大或軟組織彈性不足,在骨頭切除或內縮後,因體積的減少,對於臉部組織的支撐力也會減少。在重力的影響下,有可能產生臉部組織下垂情形,此時可能需要進一步的美容整型治療,這部分費用並不包括在本次手術費用。
7. 由於每個人對於麻醉藥物反應不一,部份患者會有嘔吐感或是頭暈,乃正常反應。
8.手術後若感覺有痰,回到病房後請病房護士或是家屬朋友幫患者拍背,幫助痰液順利咳出。若感到手酸腳麻是因為在手術期間,長時間維持同一姿勢所導致,親友可以幫助患者按摩肩頸、四肢。回病房時先將床頭調高約成25~30度(撐高頭部會較舒服,且呼吸會較順暢)。
9. 當您下唇及下巴的感覺功能漸漸恢復時可能會有刺刺、拉扯的感覺,那是神經正在快速長出新分支的正常感受,請不必擔心。
10. 臉部的改變:通常建議術後宜在家修養。此時您可能會很擔心(咦?為什麼還這麼腫),請放心並拿出耐心,約一個月內可以大幅消腫,但還是看的出來有一些腫。一個月後仍然會繼續消腫到兩三個月後,臉型才會慢慢穩定下來,但此時消腫速度會沒有一開始這麼快。
11. 手術後患者可能會疑惑為什麼自己還是有輕微的戽斗或是輕微的暴牙,這是因為牙齒的矯正還未完成。手術後剩下輕微的暴牙、戽斗或牙齒間留有大小不一的縫隙之後可經由矯正、植牙、或牙橋改善。
12. 不要按壓開刀部位附近,按摩錯誤反而糟糕。手術後當然可以洗澡洗頭,請不用擔心。
13. 術後正常洗臉,傷口以消毒過棉枝沾生理食鹽水或煮沸過的冷開水拭淨,再以棉枝沾取藥膏薄薄一層, 一天2--3次,或視情況增減次數,保持傷口乾燥、清潔、沒有血跡即可。
14. 注意飲食均衡,多補充各類營養,術後忌偏食,準備流質及半流質食物或許不是很方便,但請多努力!禁吃刺激性食物:辛辣、咖啡、氣泡飲料、菸酒。術後一週內請注意不要吃太熱的食物,選擇冷、微溫的液體食物。術後5~10天內請使用流質食物(魚湯、肉湯、排骨湯、牛奶及各種奶製品、米漿、豆漿、優酪乳、奶昔、過濾米湯、過濾的王米濃湯...)。十天之後可以開始吃半流質或軟質食物(稀飯加排骨湯、魚湯或是各種軟質食物,甚至任何食物只要用食物條理機或果汁機打成粥狀都可以吃)。醫師會評估您的傷口狀況,如果癒合狀況良好可以不必忍耐到一個月,可以提前正常飲食,術後可以請教醫師。但需顎間固定的患者只能以流質進行至拆除顎間固定後慢慢可以吃半流質或軟質食物。
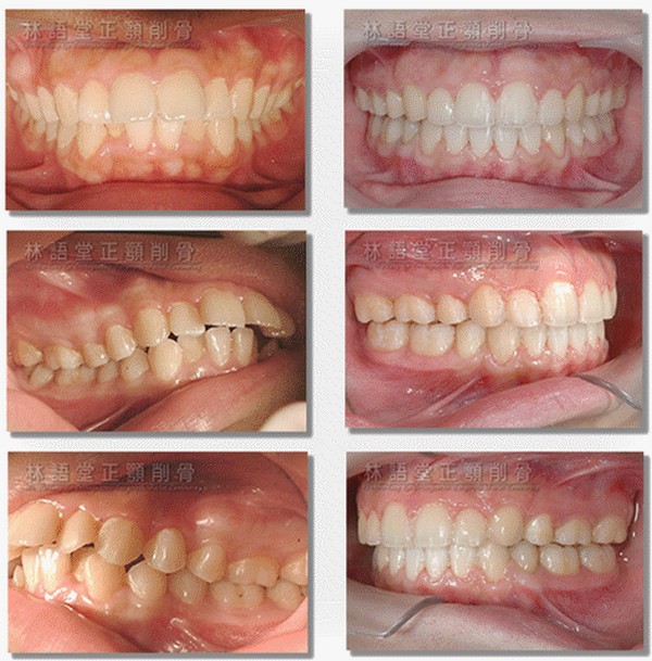
暴牙
上顎骨或上下顎骨明顯前凸,除了影響咬合功能與外觀之外,常伴隨嘴唇無法自然閉合、口乾或發音不清等問題。造成原因可能包括遺傳、童年吮指習慣、咬合不正或顎骨發育不平衡。治療方式依嚴重程度不同,可透過牙齒矯正改善,或結合正顎手術調整顎骨位置,恢復咬合功能與臉型和諧。


戽斗
下顎骨過度發育或上顎骨發育不足,導致下排牙齒明顯前突、上下顎咬合不正。常見表現為下巴突出、咬合反咬、臉型比例失衡,不僅影響外觀,也可能造成咀嚼、發音及牙周健康問題。治療方式依嚴重程度不同,可透過牙齒矯正改善,或結合正顎手術調整顎骨位置,恢復咬合功能與臉型和諧。


臉部歪斜
臉部左右不對稱的情況,可能表現在下巴偏斜、笑容不平均或眼口高低差異。成因包括先天骨骼發育不均、後天咬合不正、外傷、長期偏側咀嚼或不良姿勢等。輕微歪斜多以牙齒矯正或咬合調整改善,若為骨骼性歪斜,則需配合正顎手術,重建顎骨對稱與臉部平衡,恢復外觀與功能。

下巴後縮
下顎骨發育不足或位置過於後退,導致臉型比例失衡,常見於側臉線條不明顯、下巴過短、雙下巴或嘴唇難以緊閉。除了影響外觀,也可能造成咬合不正與呼吸道問題。治療方式可依嚴重程度選擇假體墊下巴或頦部整形術(墊下巴或削骨調整),以改善臉部輪廓,提升咀嚼功能與美觀,並可以改善呼吸道的問題。
