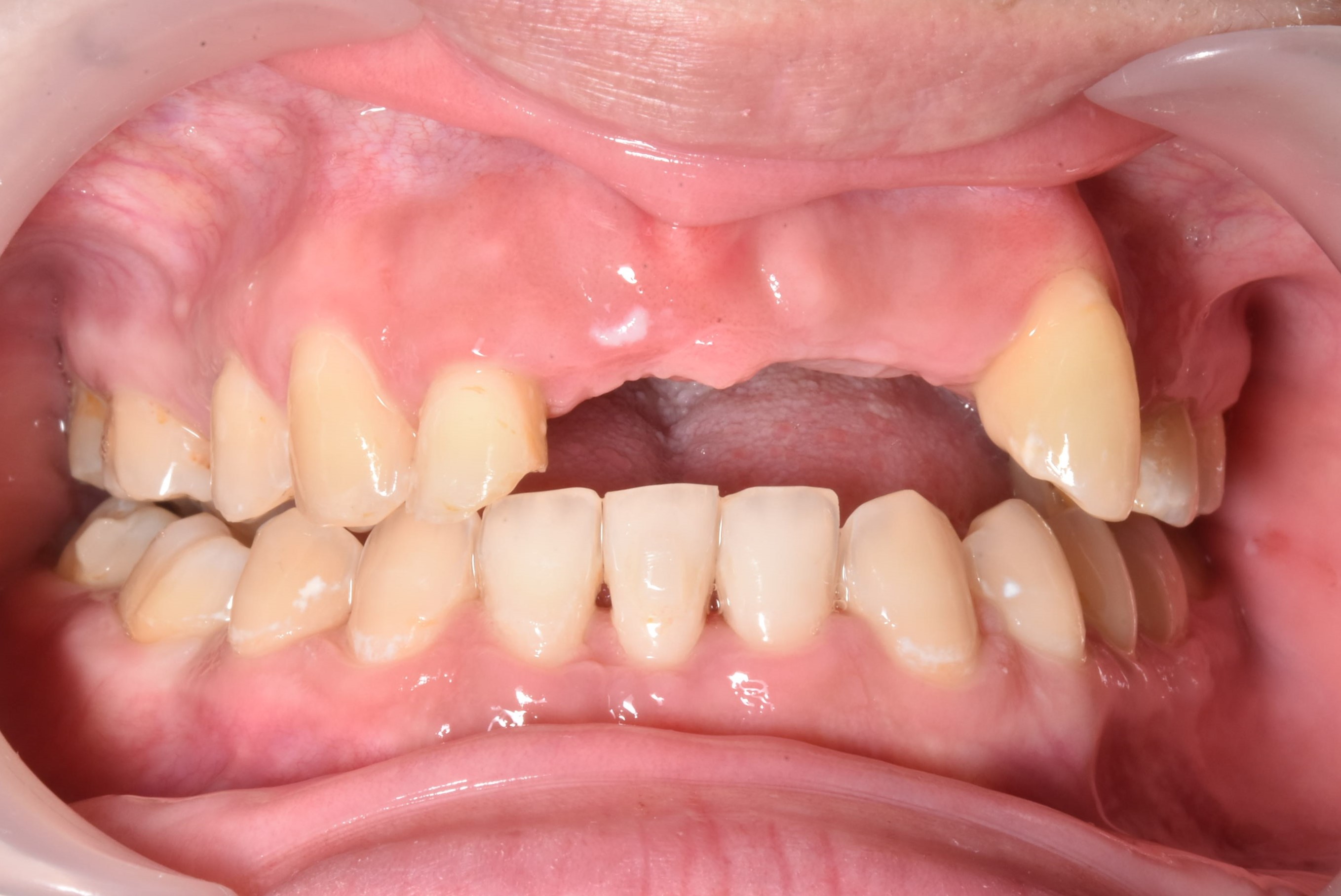
案例一

骨頭明顯凹陷

翻瓣補骨的區域

補入所需的骨粉

完成後縫合,等待傷口癒合

每個人骨頭恢復所需不同,需定期回診給醫生評估是否進行下一個階段
案例二

骨頭明顯凹陷

翻瓣補骨的區域

補入所需的骨粉

完成後依骨頭恢復裝況,需定期回診給醫生評估是否進行下一個階段
案例三

缺牙太久造成齒槽骨大量流失

先放入不可吸收骨膜,增加骨頭高度與面積
*不可吸收骨膜:不會被身體吸收、需要再開刀取出的膜,放在補骨區用來隔離軟組織並撐住空間,讓骨粉有足夠時間生長成新骨

補入所需骨粉

蓋上可吸收骨膜
*可吸收骨膜:會被身體自然吸收、不需再開刀取出的骨膜,用在補骨手術中,主要功能是隔離軟組織、保護骨粉、協助骨再生

最後縫合傷口,等待癒合

明顯看到補骨的高度
案例四


缺牙造成齒槽骨流失

翻瓣補骨的區域,先擷取所需不可吸收骨膜的大小,用骨釘固定
*不可吸收骨膜:不會被身體吸收、需要再開刀取出的膜,放在補骨區用來隔離軟組織並撐住空間,讓骨粉有足夠時間生長成新骨

補入所需骨粉

最後縫合傷口,等待癒合


完成後依骨頭恢復裝況,需定期回診給醫生評估是否進行下一個階段
案例五


先把不好的牙根拔除,等待傷口癒合,進行補骨

翻瓣補骨的區域

補入所需骨粉

蓋上可吸收骨膜
*可吸收骨膜:會被身體自然吸收、不需再開刀取出的骨膜,用在補骨手術中,主要功能是隔離軟組織、保護骨粉、協助骨再生

最後縫合傷口,等待癒合

