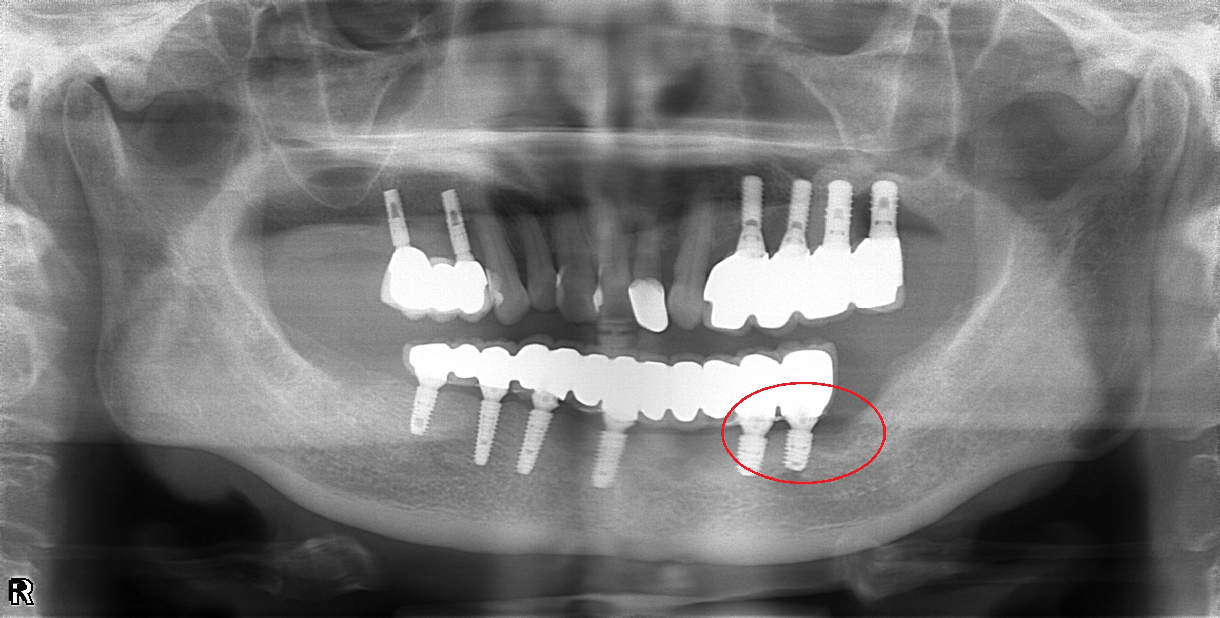
案例一

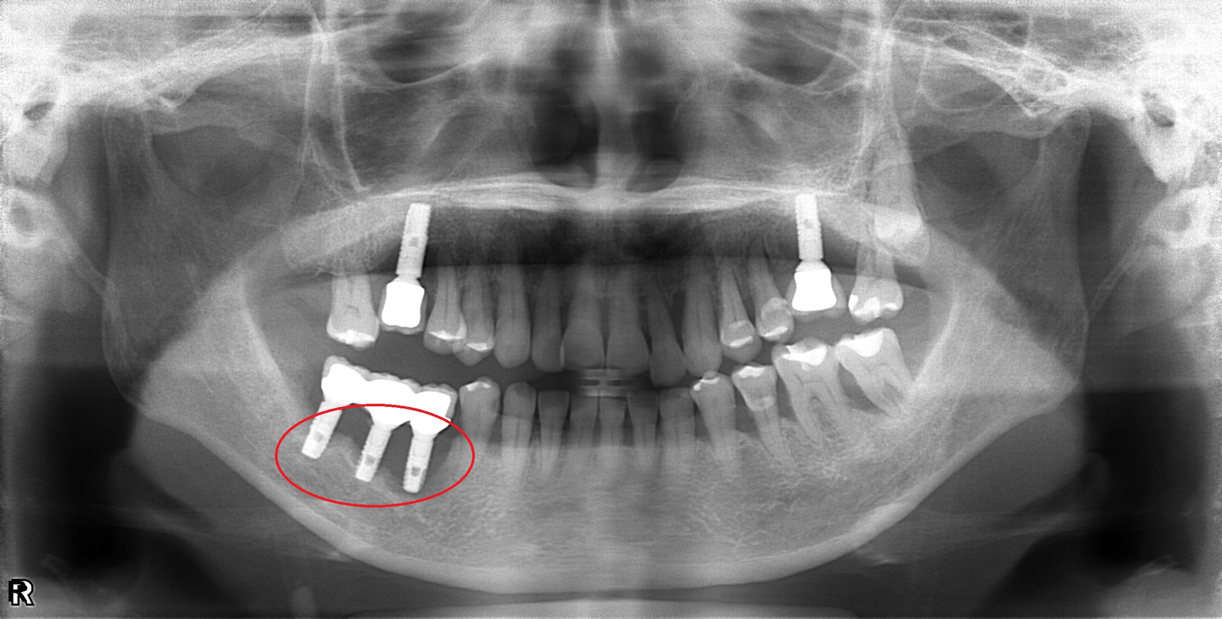
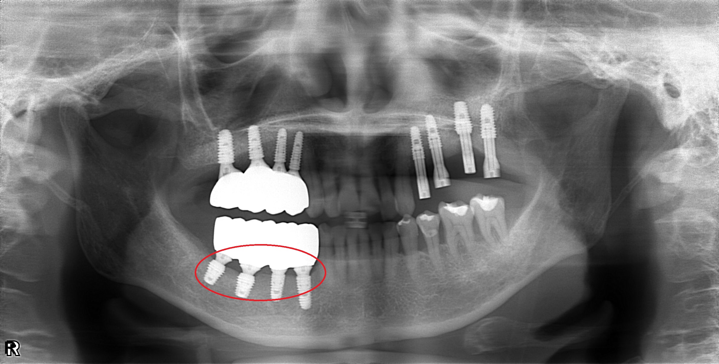
案例二